Skip to main content

ENSURE CONSISTENCY AND REPRODUCIBILITY OF RESULTS THROUGH OUR IN VITRO CELL CULTURE SOLUTIONS

Cell Culture

Whether you need to grow immortalized tumor cells, primary cells, immune cells, neurospheres or spheroids for your study, our team can grow them. Our cell culture and in vitro experts have diverse overlapping skills to grow cells in vitro and perform numerous types of downstream treatments and assays with the cells. Our experience using multiple types of incubators, vessels, and systems to grow cells and keep them healthy means we are the CRO of choice for cell culture. Choose from one of the 400 cell lines in our repository – which includes over 100 Luciferase-enabled for easy monitoring – or 3D spheroids to better predict clinical outcomes and consider us your choice for your next preclinical oncology project

Our mission is to reduce the failure rate of candidate anticancer drugs in clinical trials by providing our clients with access to advanced tumor-specific 3D in vitro models. Predictive Oncology® 3D in vitro models provide us with a new tool that produces more reliable outcomes for early evaluation of responses to oncology and immuno-oncology therapies. This comprehensive 3D culture platform integrates organ-specific cellular and extracellular elements to maintain the critical interactions between a tumor and its surroundings allowing you to eliminate ineffective compounds early in the drug development process and move forward with promising candidates.

lab

 

Labcorp cell culture analysts have experience with over 500 cell lines, including models for over 75 histotypes, covering acute monocytic leukemia (AML) to vulva leiomyosarcoma. We have an experienced team of analysts who are familiar with various mechanisms for cell culture scale up including culture in plates, flasks, roller bottles, spinner flasks, and multi-layered flasks. Importantly, we have capacity to process thousands of flasks per week to support large- and small-scale animal work including support for over 40 models on our FastTrack program, which includes initiation of cell culture within 2 weeks of study signing.

dna

 

Labcorp can monitor the cell morphology of your cells in culture using an Olympus CKX53F inverted fluorescence microscope with phase contrast and a 1.4MP CCD camera. View pictures of your cells before, during, and after treatment, over extended periods of time, or at specific time points before implantation to verify that the cells are growing normally.

cells

 

 

We o   can monitor the growth of your cells over time and compare different cell variants, cells grown in different media, or cells grown with different treatments. We have two Luna CellDrop Automated Cell Counters that can accurately distinguish the live from the dead cells using trypan blue or AO/PI and count each population. Our cell culture team has a vast amount of experience culturing multiple types of cells including immortalized tumor cells, primary cells, immune cells, neurospheres, and spheroidstumor cells, primary cells, and neurospheres. The team also has experience performing colony formation assays to detect the tumorigenic potential of transformed cells and the tumor suppressive effects of proteins on transformed cells in vitro. Our flow cytometry team has experience monitoring the proliferation and viability of stimulated T- cells or T- cells in mixed lymphocyte reactions and co-cultures using CFSE staining or other cell tracking reagents.

cell

Labcorp has the ability to stain cultured 2D or 3D cells and acquire fluorescent images using the Cytation 3 Imaging Plate Reader. Once the images have been captured, we have specialized software that can count nuclei, count live vs dead cells, count stained cells as positive vs. negative, and measure the size, circularity, area, perimeter, and intensity of each color in the images.

cell

cell

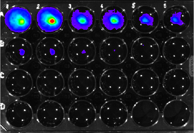
Firefly (P. pyralis) luciferase is an enzyme that produces bioluminescence in the presence of D-luciferin. The DNA for the luciferase 2 (luc2) gene, along with a puromycin resistance gene, is incorporated into the genome of the cells using a lentiviral transduction system. While culturing the cells, puromycin is added to the medium to select only the cells with the inserted luciferase gene. Once the luc-enabled cells are injected into a mouse or rat and D-luciferin is administered, the light produced can be detected with Labcorp's IVIS® Spectrum in vivo imaging system. The in vitro services team has experience performing every step of the process from stably virally transducing cells, to selecting the transduced cells, to measuring the light output of the cells.

cell

graph

 

Cytotoxicity/proliferation assays are widely used to screen for cytotoxicity in compound libraries. If you are interested in developing a therapeutic agent that targets rapidly dividing cancer cells, we can test the potency of your cytotoxic compounds. We can also screen “hits” from initial high-throughput drug screens for unwanted cytotoxic effects before you invest in your agent as a pharmaceutical. Labcorp can measure the toxicity of your compound in your choice of over nearly 400 cell lines that we have availablestock in our repository. We provide graphs and IC50 values for each cell line and compound.

Let's start a conversation